
چپس دیگر آلو کی شکلوں کے مقابلے میں صحت کے زیادہ خطرات لاحق ہیں: مطالعہ
ایک شخص فرانسیسی فرائز کو ایک دکان پر کھڑا کرتا ہے۔ – unsplash ہارورڈ یونیورسٹی کے پبلک ہیلتھ کے ماہر کی سربراہی میں ایک بین

ایک شخص فرانسیسی فرائز کو ایک دکان پر کھڑا کرتا ہے۔ – unsplash ہارورڈ یونیورسٹی کے پبلک ہیلتھ کے ماہر کی سربراہی میں ایک بین

بچے پری اسکول میں گولیاں پر تعلیمی مواد دیکھتے ہیں۔ re رائٹرز/فائل ڈنمارک کے بدھ کے روز شائع ہونے والے ایک ڈنمارک کے مطالعے کے

ایک نمائندگی کی تصویر جس میں مختلف جذبات کی عکاسی ہوتی ہے۔ – unsplash جیو ڈاٹ ٹی وی مثال پیارے مکھی ، میں خوشی محسوس

پاکستان میں ایک نوزائیدہ بچے کو پولیو اینٹی ویکسین کا انتظام کیا جارہا ہے۔ – ایپ/فائل NIH کی علاقائی حوالہ لیبارٹری کیس کی تصدیق کرتی

پاکستانی صحت کا کارکن حاملہ خواتین کے ساتھ پہاڑی نیلم کے شہر شارڈا کے ایک صحت کی دیکھ بھال کے مرکز میں حاملہ خواتین کے

ایک آرس ویکٹر کنٹرول ایجنٹ 22 اپریل ، 2025 کو فرانسیسی بیرون ملک لا ری یونین کے سینٹ بینوئٹ میں مچھروں کے ذریعہ چکنگونیا وبائی

پلاسٹک سے بنی بڑی مقدار میں کوڑے دان کو پورٹ موریسبی ، پاپوا نیو گنی ، 19 نومبر ، 2018 میں بندرگاہ کے ساحل پر

ایک صحت کا کارکن 26 مئی 2025 کو کراچی میں ملک بھر میں ہفتہ بھر پولیو وائرس کے خاتمے کی مہم کے پہلے دن پولیو

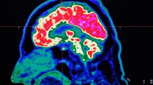
ایک پوسیٹرون اخراج ٹوموگرافی اسکینر کے ذریعہ لیا گیا انسانی دماغ کی ایک تصویر ، جسے پی ای ٹی اسکین بھی کہا جاتا ہے ،

ایک نمائندگی کی تصویر جس میں ڈاکٹروں کو سرجیکل طریقہ کار انجام دینے میں دکھایا گیا ہے۔ – رائٹرز/فائل کراچی: ناقابل تصور غم کے ایک